Modern American Dentistry
A Great Dentist

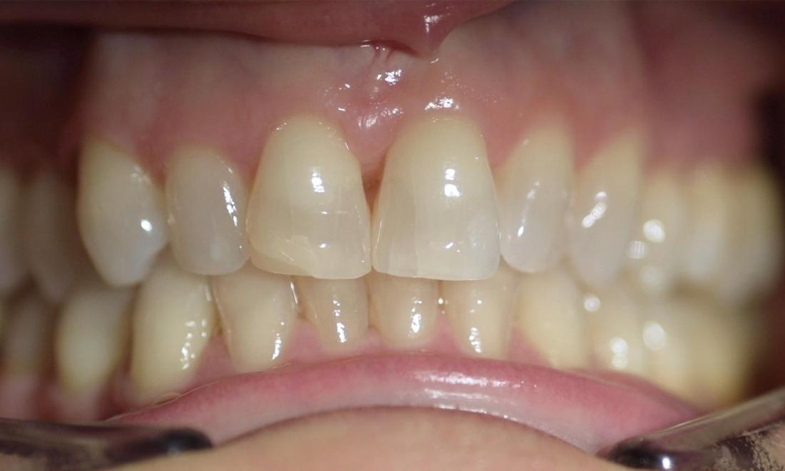
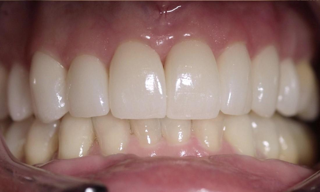
Veneers and Teeth Bleaching

In this case a combination of veneers and bleaching were used to correct tetracycline staining and tooth wear and misalignment. The outcome was a beautiful and natural smile.

Service Performed By:

Joel Gould, DDS
Partial Dentures Testimonial from Woodland Hills Patient
Ready to book an appointment?
If you have difficulty using our website, please email us or call us at (818) 886-1076
View the ADA Accessibility Statement