Skip to main content
Dentures
A Cost Effective And Natural Looking Option

Redefine your smile with a set of full or partial dentures from our Manhattan Beach and Woodland Hills offices. A good looking and functioning smile is just around the corner.

Old Couple Smiling after getting dentures from Modern American Dentistry
Give yourself the smile you deserve.
Call Today

Dentures Woodland Hills and Manhattan Beach, CA

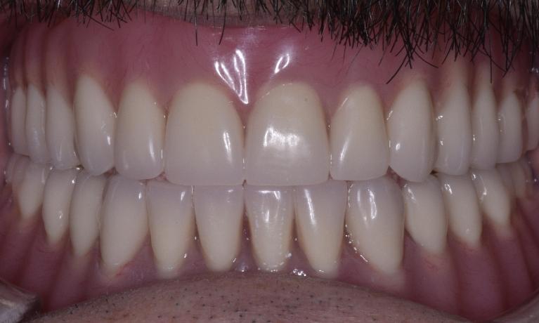
Dentures are removable, manufactured teeth fitted to replace your missing teeth and surrounding tissues. There are two types of dentures available: partial or full. Partial dentures will supplement any missing teeth by using your existing teeth for support. Full dentures will replace all missing teeth and supporting tissues. Both partial and full dentures can have their retention improved by utilizing and attaching to dental implants.
After your damaged teeth have been removed and the gum tissue has started to heal over a six to eight-week period, your dentures are ready to be placed. The healing process will be complete before the dentures are placed in your mouth.

If all of your teeth are being removed, we will be placing an immediate denture that will be adjusted and relined with soft material while the bone and gums are healing. Six months after the extractions, once the bone and gums have completely healed, the entire denture will be permanently relined to ensure a comfortable and great fit.

Fabricating custom-fitting dentures will be a multiple visit procedure. The process begins with your medical review and a full oral exam. The dentist will sit with you and decide specifically what will work best for your mouth for the best results. Oral measurements and impressions will be taken by your dentist to ensure a proper fit. Once you receive your dentures, several follow-up appointments may be required to fine-tune them and achieve a comfortable fit.

It may take several weeks to get used to the fit of your new dentures. This timeframe can be greatly reduced by having one of our dentists place dental implants to secure the dentures.

Find the perfect fit with your dentures by contacting Modern American Dentistry to reserve your initial, no-obligation consultation today.

Removable Complete Dentures in Woodland Hills

Removable Partial Dentures

Implant Retained Removable Denture in Manhattan Beach

Implants can be used to aid in the retention of upper or lower dentures. They are most commonly used with lower dentures.

Upper dentures generally work well because the tissues of the palate can be slightly compressed thus creating suction. The stiffness and shape of the tissues of the palate determine the degree of suction achievable and if adequate suction cannot be achieved, implants can help.

Lower dentures on the other hand are only held down by gravity. We have the added challenge of the tissues such as the tongue and the cheek moving and displacing the denture. Adhesive can aid in this situation. Bone resorbs more rapidly on the bottom (mandible) than the top and it is often challenging to fabricate a stable lower denture.

There are two solutions for aiding in the retention of dentures.

  • With no remaining teeth, implants can be used which give us something to attach the denture to. There are three parts. The implant itself, the abutment, and the female part that sits inside the denture and snaps onto the abutment. The implant is double threaded. It has threads on the outside that hold it in the bone and threads on the inside which allow us to screw something into it. This is the abutment. The abutment that is used with dentures is called a locator abutment. It sticks out of the gum and has a female part that snaps on top of it. This provides a connection between the implant and the denture and provides stability and anchorage for the denture
  • If any healthy roots are remaining they can be decoronated (cutting the top of the tooth off down to the gum), root canals performed, and posts cemented into the tooth that has the same shape as the locator abutment. In this situation, the healthy roots replace the implant and the denture attaches in this fashion. Active periodontal disease or loose roots may compromise our ability to use them for anchorage.

With two implants we can fabricate a removable denture. This is taken out at night daily.

Screw Retained Fixed Denture

With the placement of 4 to 6 implants a fixed solution is possible. This is not removed by the patient on a daily basis but can be removed by the dentist for cleaning once or twice a year.

Partial Dentures Testimonial from Woodland Hills Patient

Frequently Asked Questions

When you lose teeth it is important to consider replacing them for several reasons. When you are missing teeth, you can start becoming self-conscious about your smile. People often start to change the way they behave in public and around friends and family because they are embarrassed of their smiles. Teeth can also start shifting after a while similar to pulling a book out of a bookcase. When you pull the book out the books next door fall into the space left by the book you removed. Teeth behave very similarly. Teeth next door drift in to fill the space and the tooth above and below can also erupt out of its socket to fill the space. Once this happens you may need expensive braces to correct the problem and create space for the tooth replacement.

3 Options to Replace Missing Teeth

There are pretty much only 3 ways to replace missing teeth. These three options involve bridges, removable partials or dentures, and dental implants.

If you've been putting off replacing your missing tooth, our team at Modern American Dentistry strongly suggests that you speak with a dental professional at our offices to learn more about your tooth replacement options in the Woodland Hills and Manhattan Beach Areas.  

Learn more regarding your tooth replacement options here.

Dentures in Woodland Hills, CA, are a means of replacing missing teeth practically and affordably. And we offer a few types of dentures, including partials and implant options, to meet your needs.

complete and partial denturesComplete Removable Dentures

Complete removable dentures start with a gum-colored plate customized in the shade and fit to set snugly over the gum. This solution is for total tooth loss on your mouth's top or bottom arch. This denture type depends on gravity and gum contours for stability.

Partial Removable Dentures

These work similarly to complete dentures, but we strategically place restoration teeth on the arch to fill in only where your teeth are missing. In addition, these prosthetics work with gravity, gum contours, healthy neighboring teeth, and special clips for support.

Implant-Supported Dentures

We offer both removable implant dentures and a fixed option. Four to six dental implants are placed in the gum to add additional support to a prosthetic. The choice may be fixed (only removable by your dentist) or non-fixed (a bit like a snap-in option).

Contact Your Woodland Hills, CA Dentist

Replacing missing teeth restores your confidence, improves your bite function, and promotes better oral health. If you’re considering tooth replacement, including dentures, give us a call today to learn more or schedule your consultation.

At this initial dental visit, your dentist can help you determine the best option for your goals and budget. We can also learn whether dentures will work for you.

Meet Our Doctors:

Woodland Hills Dentist Gabe Adorjan, DMD

Gabe Adorjan DMD
Dentist

I grew up in a ...

Dr. Gould | Modern American Dentistry

Joel Gould DDS
Dentist

Ongoing advancements in science, technology, and understanding of the human body ensure that dentistry is an evolving field of medicine. In his 25 years as a practicing dentist ...

Greg Don DDS
Dentist

Dr. Don was born and raised in the San Fernando Valley and went to Chatsworth High School. He is married with 2 children and 2 grandchildren.

Dr. Don brings with him ...

Bruno
Therapy Dog

Meet Bruno, the Therapy Dog

Bruno is the beloved therapy dog and official comfort ambassador at Modern American Dentistry, ...

Featured Blog Posts - Dentures

January 30, 2019

Why Modern Dentures Are a Great Option

different types of dentures on white background

At Modern American Dentistry, we understand that losing your teeth can be a traumatic experience. However, today’s dentures are heads above the dentures from decades ago.

The modern dentures in our Woodland Hills, CA dental office are high quality, fit perfectly, and are completely natural-looking.

Denture Options in Woodland Hills

At Modern American Dentistry, we offer several denture types, including removable dentures, partial dentures, and implant-supported dentures.

Removable Dentures

A removable denture is a standard, high-quality prosthesis that takes the place of natural teeth. Removable dentures can be taken out for cleaning, realignments, or ...

Getting an appointment is fast and easy!
Contact Us