Modern American Dentistry
A Great Dentist

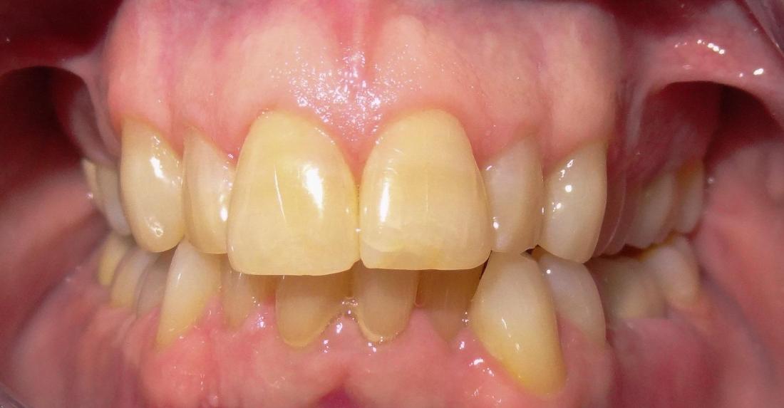
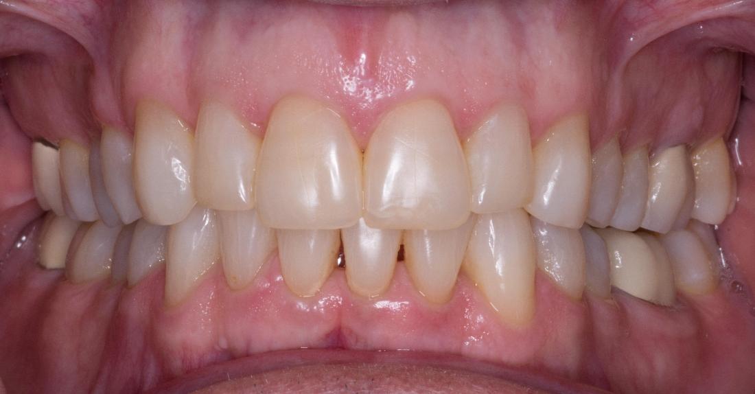
Invisalign to Correct Overbite

This patient had a large overbite that never really seemed to bother him but his wife really wanted him to straighten his teeth. He is extremely happy with the outcome. Some of the added benefits of Invisalign treatment are improved hygiene and eliminating food traps from between teeth. When teeth are lined up properly they are much easier to keep clean.

Related Services:

Invisalign® Clear Aligners

Service Performed By:

Gabe Adorjan
Still need an appointment?
If you have difficulty using our website, please email us or call us at (818) 886-1076