Modern American Dentistry
A Great Dentist

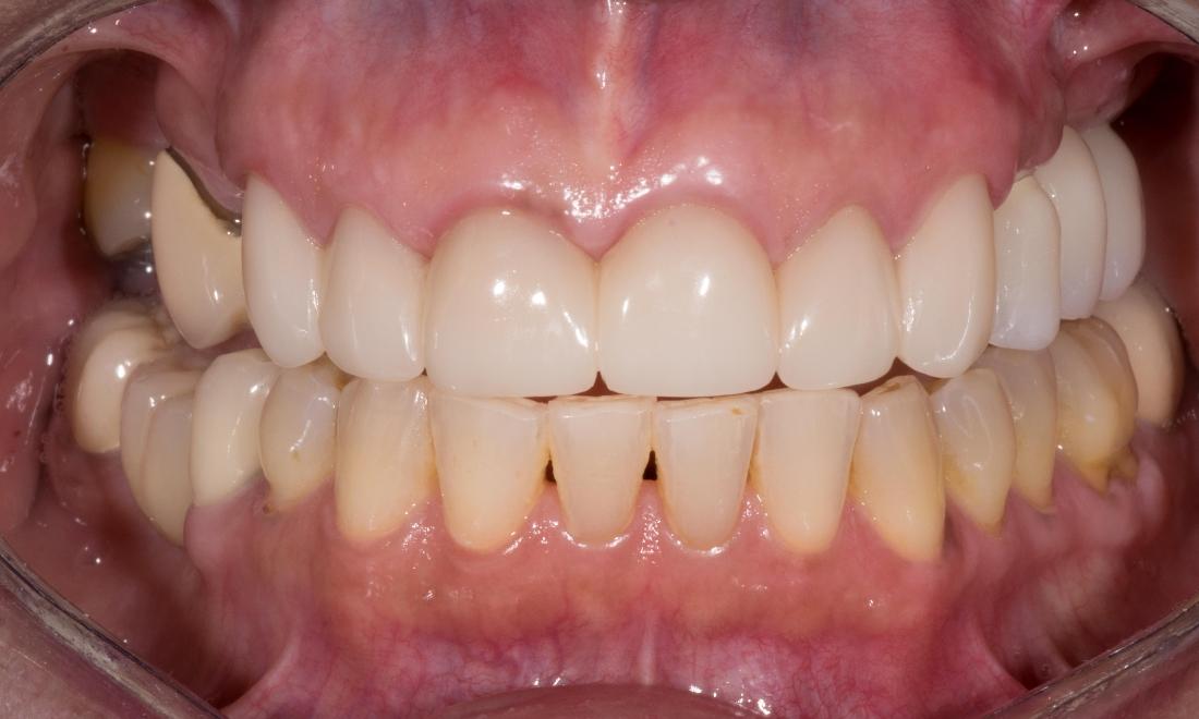
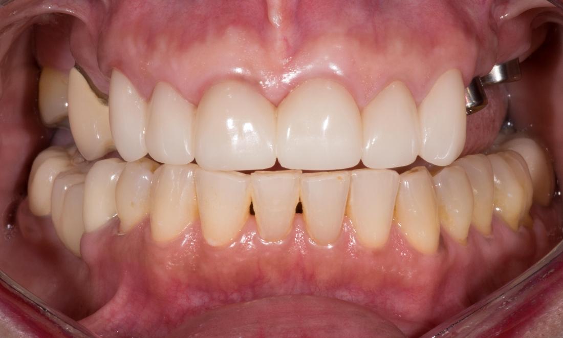
Implant-Supported Dental Bridge

This is Tina. Tina has been missing teeth on her left side for quite some time. We placed two implants on the upper left which were then restored with zirconia abutments and a zirconia bridge. She was very happy with the results and is excited to get her other two implants placed on the right side.

Learn more about Dental Implants by checking out our Blog.

Service Performed By:

Gabe Adorjan
Not finding what you need?
If you have difficulty using our website, please email us or call us at (818) 886-1076