Modern American Dentistry
A Great Dentist

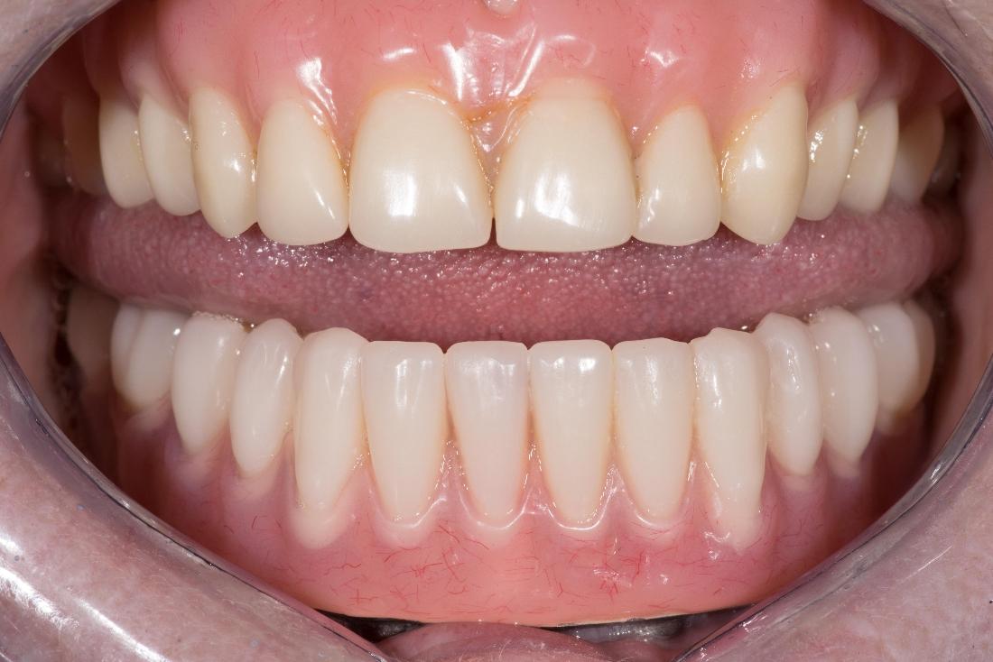
Replacement of an Implant Supported Hybrid Denture

This is Laura. She had her lower teeth reconstructed over 20 years ago with implants and a fixed denture. She had been unhappy with the appearance for quite some time and was ready for a new set. 

Service Performed By:

Gabe Adorjan, DMD
Partial Dentures Testimonial from Woodland Hills Patient
Ready to book an appointment?
If you have difficulty using our website, please email us or call us at (818) 886-1076
View the ADA Accessibility Statement