Modern American Dentistry
A Great Dentist

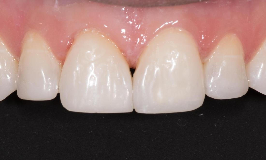
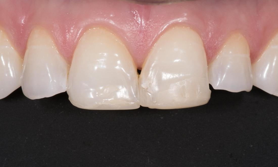
Composite Veneer

This patient has been with the practice for 3 years now. She has been unhappy with her upper front teeth ever since. She recently had a baby and has been waiting to get the treatment done so she would love what she saw in the mirror.

After in-office whitening and then whitening some more at home we got her to a shade she was happy with. We did composite veneers on the middle two teeth and lengthened the lateral incisors with some composite. She was ecstatic with the results!!!!

Service Performed By:

Gabe Adorjan
Improve your smile today – call to schedule a consultation!
If you have difficulty using our website, please email us or call us at (818) 886-1076