Modern American Dentistry
A Great Dentist

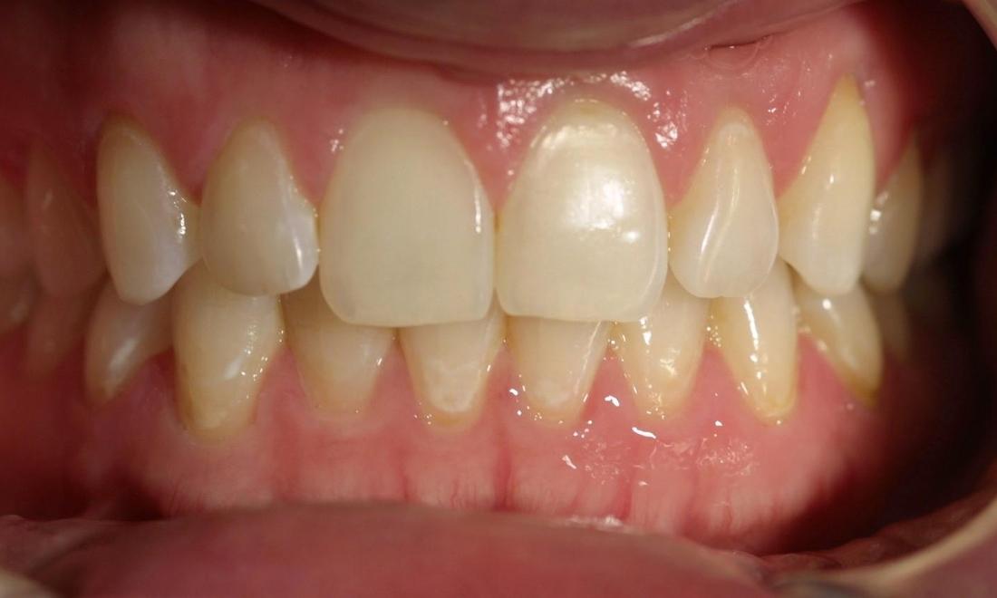
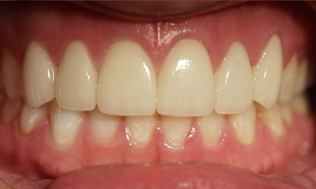
Natural Appearance with Veneers

In this case 6 veneers were used on the upper anterior teeth to correct mild crowding and misalignment. This patient wanted a natural looking result which we achieved with natural shade and appearance.

Related Services:

Cosmetic Dentistry
Partial Dentures Testimonial from Woodland Hills Patient
Ready to book an appointment?
If you have difficulty using our website, please email us or call us at (818) 886-1076
View the ADA Accessibility Statement