Modern American Dentistry
A Great Dentist

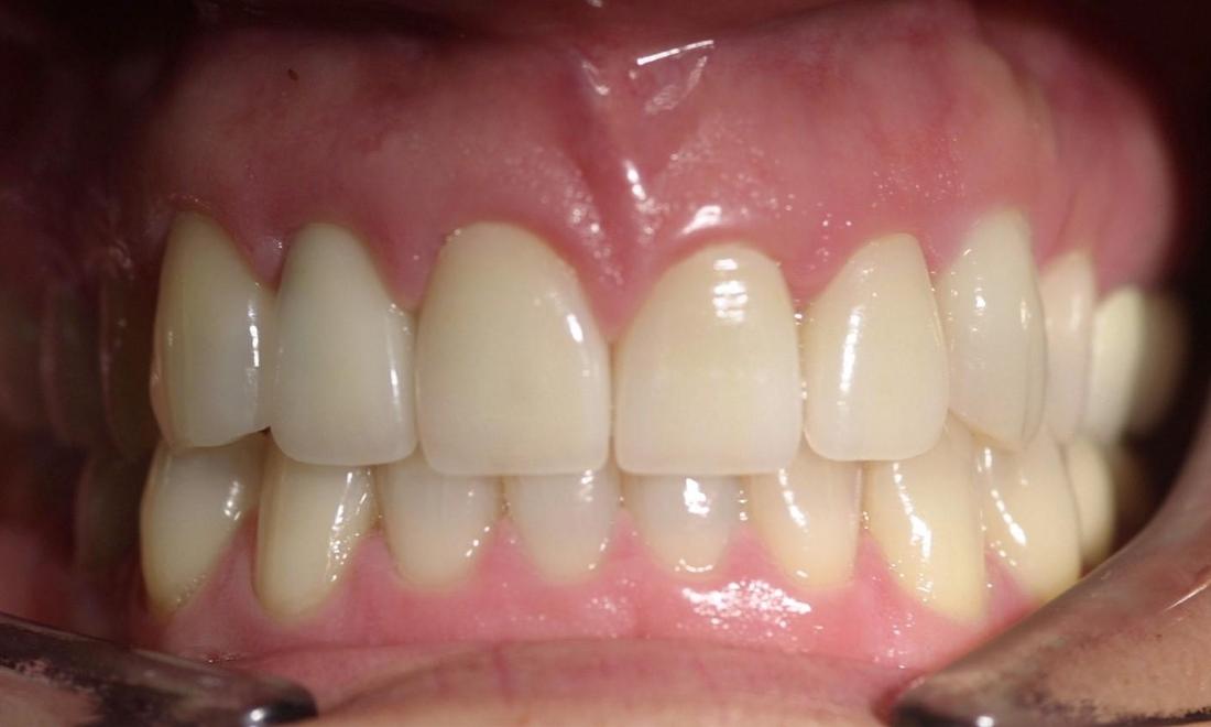
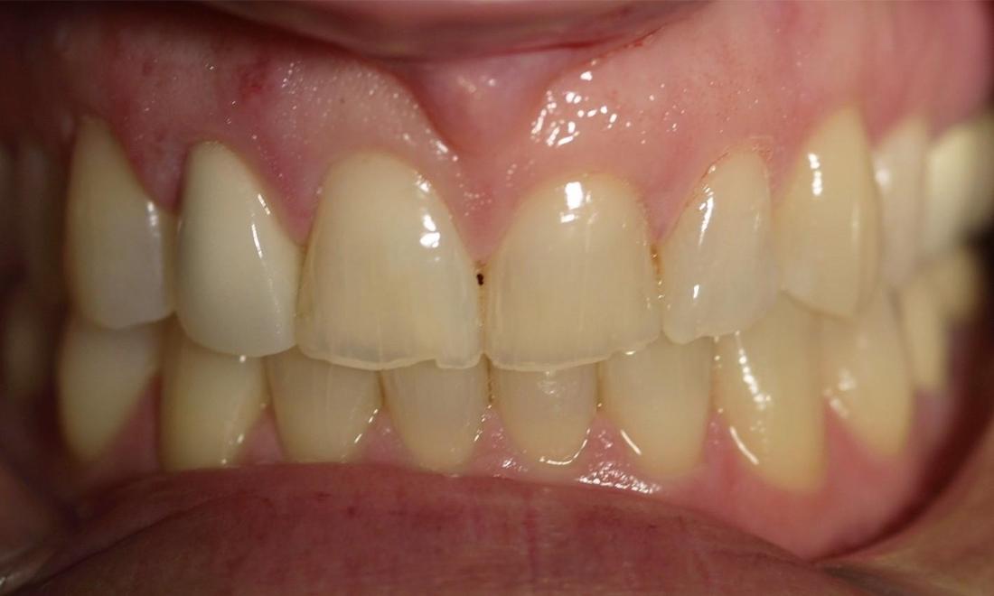
Veneers Improve Dental Wear from Bruxism

This patient had some wear on the upper anterior teeth due to bruxism (grinding) and was not happy with the overall appearance of the smile.

Veneers on the anterior 6 upper teeth along with teeth whitening significantly changed the appearance of the smile and gave this person the confidence to smile big where ever they went.

Have Questions? Get in Touch
If you have difficulty using our website, please email us or call us at (818) 886-1076