Modern American Dentistry
A Great Dentist

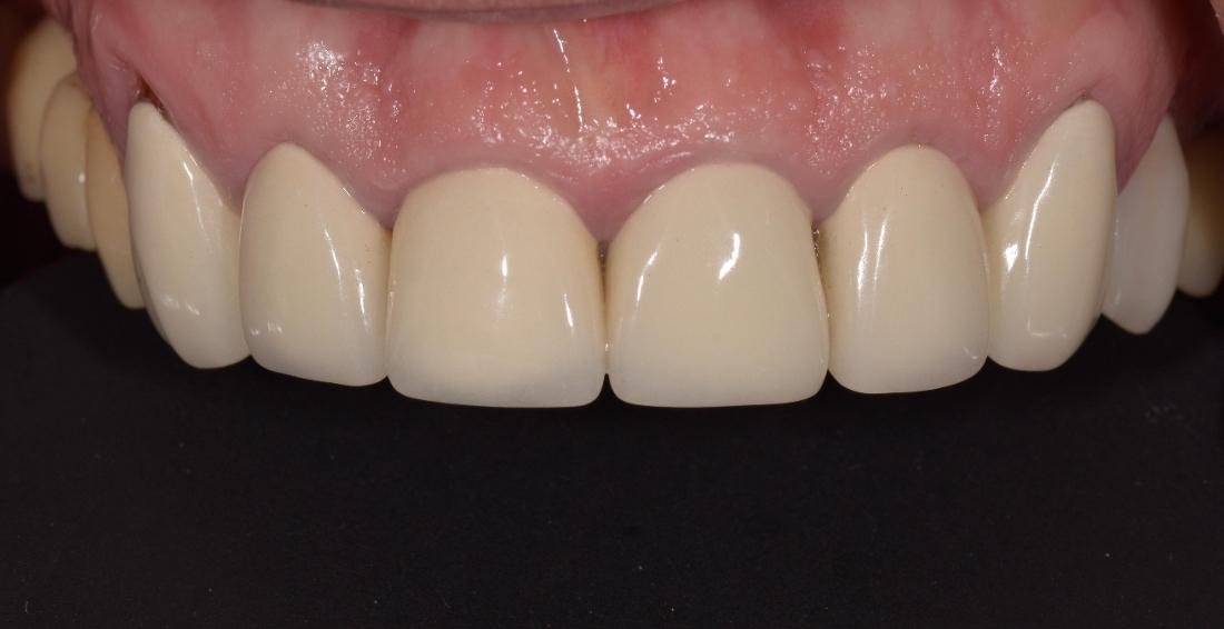
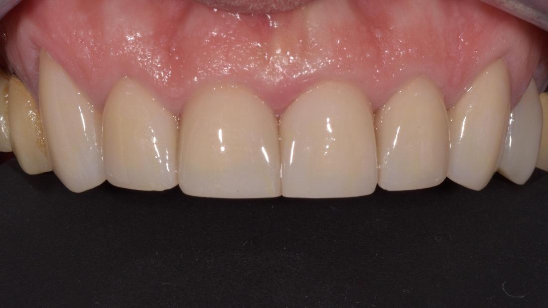
Modern Crowns For a Natural Appearance

This patient was unhappy with the "fake" appearance of his front teeth. He wanted more natural looking crowns. Here we replaced his old metal ceramic restorations with all porcelain.

Partial Dentures Testimonial from Woodland Hills Patient
Ready to book an appointment?
If you have difficulty using our website, please email us or call us at (818) 886-1076
View the ADA Accessibility Statement