Modern American Dentistry
A Great Dentist

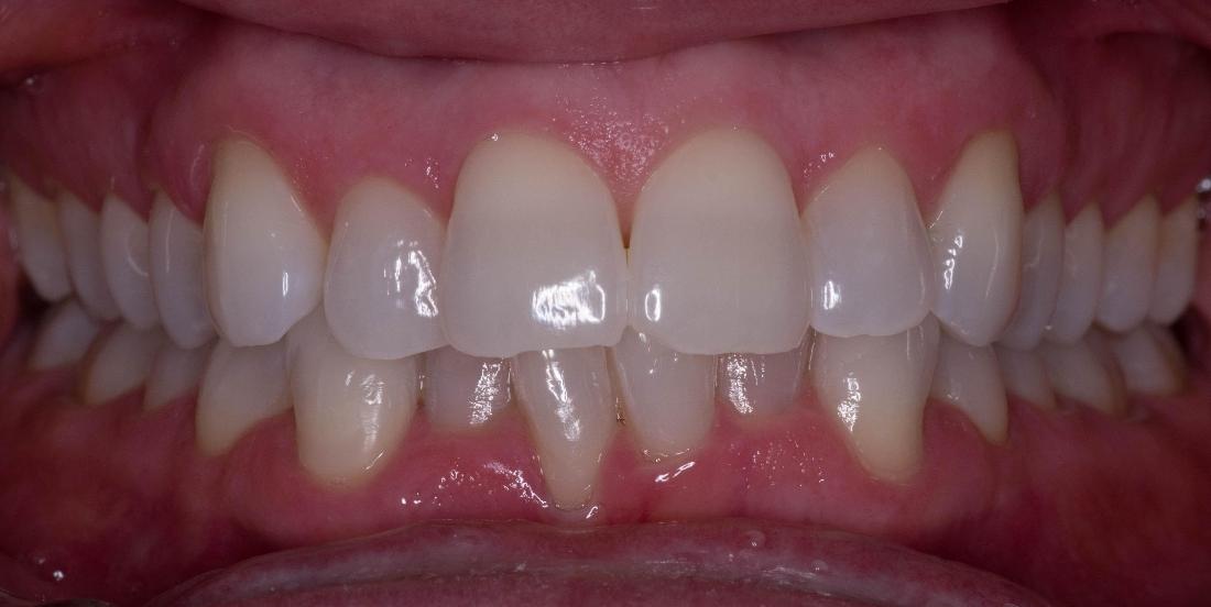
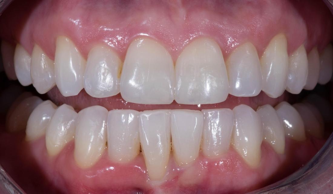
Invisalign Before and After

This patient has been with the practice for 20+ years. She's always had the most radiant smile. Even though her smile was beautiful, as her 50th birthday was approaching she wanted to have that perfect smile. We started with re-positioning the misaligned teeth by doing Invisalign. We then whitened her teeth and finished off by restoring the worn edges with some esthetic bonding. She was extremely happy with the results.

Service Performed By:

Joel Gould, DDS
Partial Dentures Testimonial from Woodland Hills Patient
Ready to book an appointment?
If you have difficulty using our website, please email us or call us at (818) 886-1076
View the ADA Accessibility Statement