Modern American Dentistry
A Great Dentist

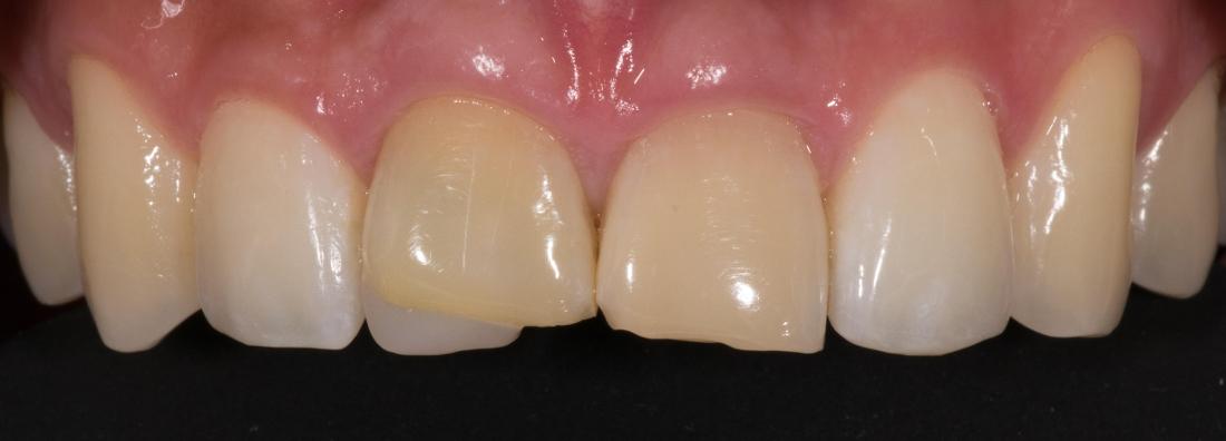
Discolored Teeth and Internal Whitening

This patient came in wanting veneers. He was tired of the discolored appearance of his front teeth. Both of the teeth have had root canal treatment and are discolored.

The patient was given a treatment plan for veneers at another office. He was fortunate to have found our office because veneers would have been a bad choice for him. The only tooth structure he had remaining was on the front of his teeth, all of which would have been removed while prepping the teeth for veneers.

What we ended up doing here is 3 rounds of internal whitening of the front teeth followed by some esthetic bonding with composite. Both the patient and I were thrilled with the results. 

Partial Dentures Testimonial from Woodland Hills Patient
Ready to book an appointment?
If you have difficulty using our website, please email us or call us at (818) 886-1076
View the ADA Accessibility Statement