Modern American Dentistry
A Great Dentist

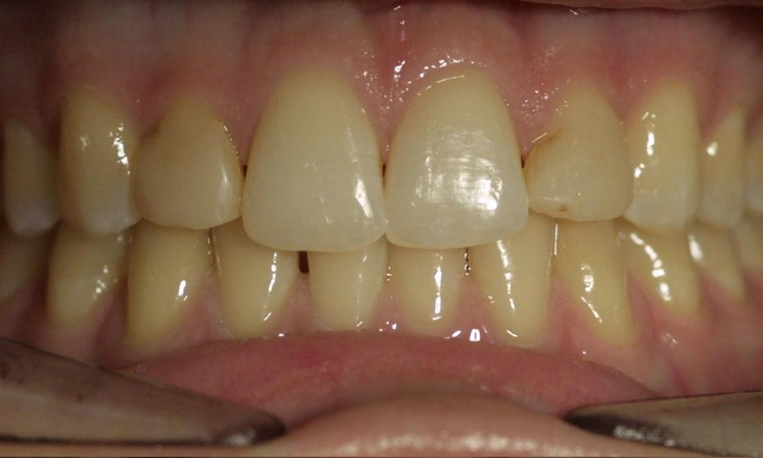
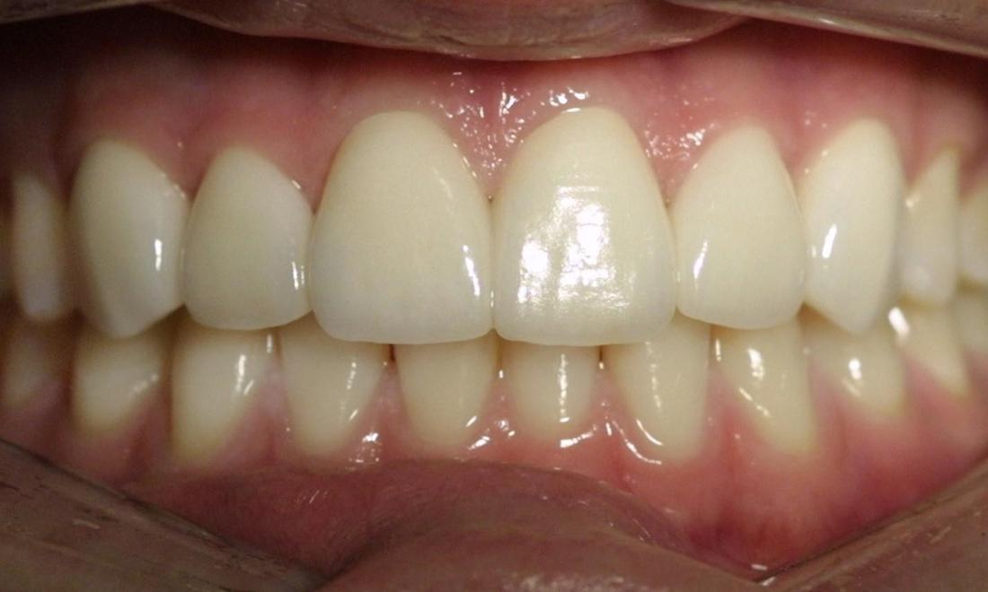
Dental Veneers and Tooth Bleaching

In this case large composite restorations were used previously to close anterior spaces. The results were less than ideal. A combination of veneers and tooth bleaching were used here to give this patient the perfect smile.

Partial Dentures Testimonial from Woodland Hills Patient
Ready to book an appointment?
If you have difficulty using our website, please email us or call us at (818) 886-1076
View the ADA Accessibility Statement